Grisel’s Syndrome After Adenoidectomy

Grisel’s Syndrome After Adenoidectomy: Here’s What to Know

by

Grisel’s Syndrome After Adenoidectomy-various aspects-

By ENT Specialist – Dr. Sagar Rajkuwar, Nashik, Maharashtra, India

Clinic Website: www.entspecialistinnashik.com

Table of contents-
  1. Introduction
  2. Etiology and Pathophysiology
  3. Risk Factors
  4. Clinical Presentation
  5. Diagnosis
  6. Management
  7. Prognosis
  8. Prevention
  9. Conclusion

Introduction

Grisel’s syndrome is a rare but serious, non-traumatic atlantoaxial subluxation (partial dislocation between the first cervical vertebra, atlas, and the second, axis) that occurs secondary to an inflammatory process in the head or neck region. Although uncommon, it is a recognized complication following upper respiratory tract infections or surgical procedures in the head and neck, particularly adenoidectomy, tonsillectomy, and mastoidectomy. Understanding this condition is crucial, as delayed recognition can result in severe complications, including neurological deficits and permanent cervical deformity.

Grisel’s Syndrome After Adenoidectomy
Grisel’s Syndrome After Adenoidectomy

Etiology and Pathophysiology

The exact mechanism of Grisel’s syndrome is multifactorial. The syndrome typically arises due to the spread of inflammatory mediators from an infection or surgical trauma in the upper aerodigestive tract to the cervical spine ligaments.

The most widely accepted theory is the “two-hit hypothesis”:

1. First hit: pre-existing ligamentous laxity of the atlantoaxial joint, which is especially common in children due to their more elastic connective tissue and increased joint mobility.
2. Second hit: an inflammatory process, often following surgery or infection, that leads to hyperemia and exudation in the periodontoid soft tissues. This inflammation weakens the transverse and alar ligaments that stabilize the atlantoaxial joint.

During an adenoidectomy, the upper cervical region is in close proximity to the nasopharyngeal surgical field. Postoperative inflammation or infection can easily spread through the pharyngovertebral venous plexus to the atlantoaxial region. The resulting hyperemia and inflammatory reaction lead to muscle spasm and ligamentous relaxation, predisposing the joint to subluxation.

Risk Factors

Age: Most cases occur in children under 12 years due to ligamentous laxity and immature neck musculature.
Infections: Upper respiratory tract infections, retropharyngeal abscess, pharyngitis, otitis media.
Surgery: Adenoidectomy, tonsillectomy, mastoidectomy, and other ENT procedures.
Anatomical factors: Hyperlaxity syndromes (e.g., Down syndrome, Marfan syndrome) increase susceptibility.

For Update On Further Important Health Related Topics And Frequently Asked Questions On Health Topics By General Population Please Click On The Link Given Below To Join Our WhatsApp Group –

https://chat.whatsapp.com/Lv3NbcguOBS5ow6X9DpMMA

Clinical Presentation

Symptoms typically appear within a few days to two weeks following adenoidectomy. The hallmark clinical feature is torticollis (wry neck)—an abnormal head posture characterized by rotation of the head to one side and slight flexion or tilt to the opposite side.

Adenoidectomy - Steps of operation

Common symptoms include:

● Neck pain and stiffness: Usually the first symptom; the patient resists neck movement.
● Torticollis: The head is tilted toward one shoulder with the chin rotated to the opposite side.
● Limited neck motion: Especially rotation, due to pain and muscle spasm.
● Fever: May or may not be present.
● Occipital or cervical tenderness: Due to inflammation around the upper cervical spine.
● Neurological deficits (rare): In severe cases, compression of the spinal cord or vertebral artery can lead to quadriplegia, paresthesia, or even death.

In postoperative cases, parents may report that the child developed a “stiff neck” or “tilted head” several days after the adenoidectomy, often mistaken initially for muscle spasm or postoperative discomfort.

DISCLAIMER-Some patients go to net and directly take treatment from there which can lead to catastrophic consequences-Then- Many people ask then why to read all this text -the reason is that it helps you to understand the pathology better ,you can cooperate with treatment better ,your treating physician is already busy with his patients and he does not have sufficient time to explain you all the things right from ABCD ,so it is always better to have some knowledge of the disease /disorder you are suffering from.

Diagnosis

1. Clinical suspicion:

A high index of suspicion is essential, especially in a child presenting with torticollis and neck pain following adenoidectomy. Misdiagnosis as simple muscular torticollis can delay treatment and worsen prognosis.

2. Imaging studies:

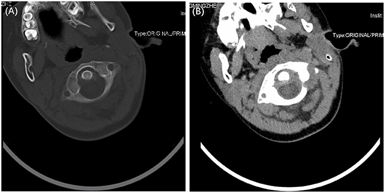
Plain cervical radiographs: The open-mouth odontoid (anteroposterior) view can show asymmetry between the odontoid process and lateral masses of the atlas. However, this may be difficult in children.
CT scan (Computed Tomography): The diagnostic gold standard for confirming atlantoaxial subluxation. It precisely demonstrates the degree and direction of displacement.
● MRI (Magnetic Resonance Imaging): Useful for assessing soft tissue inflammation, ligamentous injury, and spinal cord involvement.

3. Classification (Fielding and Hawkins, 1977):
Grisel’s syndrome is divided into four types based on the degree of subluxation:

Type I: Rotatory fixation without anterior displacement.
Type II: Rotatory fixation with 3–5 mm anterior displacement.
Type III: Rotatory fixation with more than 5 mm anterior displacement.
Type IV: Rotatory fixation with posterior displacement.
Type I and II are most common and usually respond to conservative treatment; types III and IV may require surgical intervention.

Management

Early diagnosis and treatment are essential to prevent chronic deformity and neurological complications.

1. Conservative treatment (first-line):

● Bed rest and immobilization: Use of a cervical collar or soft brace to restrict neck movement and allow healing.
Antibiotic therapy: If infection is suspected or confirmed, broad-spectrum antibiotics covering common pathogens should be started.
Anti-inflammatory and muscle relaxants: NSAIDs and muscle relaxants reduce inflammation and spasm.
Traction: In some cases, gentle cervical traction (e.g., Glisson traction) is applied to correct subluxation gradually.
Most patients with Type I or II lesions recover fully with conservative therapy over 2–6 weeks.

Frontiers | Grisel's syndrome associated with mumps: A case report

2. Surgical management:

Indicated in:

● Failure of conservative treatment.
● Recurrent or chronic subluxation.
● Severe displacement (Type III or IV).
● Presence of neurological deficits.
Surgical options include posterior C1–C2 fusion or fixation to restore stability.

3. Post-treatment rehabilitation:

After reduction and stabilization, gradual physiotherapy is recommended to restore range of motion and strengthen neck muscles. Continuous follow-up with imaging ensures no recurrence or deformity.

Prognosis

When recognized early and treated appropriately, Grisel’s syndrome after adenoidectomy carries an excellent prognosis, with most patients recovering fully without residual deformity. However, delayed diagnosis or inadequate management can lead to chronic atlantoaxial instability, persistent torticollis, or in rare cases, spinal cord compression with permanent neurological damage.

Prevention

● Gentle handling of the neck during adenoidectomy.
● Adequate perioperative infection control and antibiotic prophylaxis.
● Early postoperative mobilization with attention to complaints of neck stiffness or pain.
● Educating caregivers to report any abnormal neck posture immediately after surgery.

For important health related topics please click on our facebook page link given below or copy paste this link into google search –

https://www.facebook.com/positivemind.healthcare

For important health related videos please click on the link of our youtube channel  given below or copy paste this link into google search-

http://www.youtube.com/@healthuseful8539

Conclusion

Grisel’s syndrome is a rare but potentially severe complication following adenoidectomy, characterized by non-traumatic atlantoaxial subluxation secondary to postoperative inflammation. Awareness of its presentation—especially torticollis developing days after surgery—is critical for early diagnosis. Timely imaging and conservative management lead to excellent outcomes, while delayed intervention may cause irreversible neurological damage. Thus, vigilance among surgeons and pediatricians is key to preventing and effectively managing this rare entity.


 

If any patient has any ENT -Ear nose throat problems and requires any , consultation ,online consultation ,or surgery in clinic of  ENT specialist Doctor Dr Sagar Rajkuwar ,he may TAKE APPOINTMENT BY CLICKING ON THE LINK GIVEN BELOW-

www.entspecialistinnashik.com 

Clinic address of ENT SPECIALIST doctor Dr Sagar Rajkuwar-

Prabha ENT clinic, plot no 345,Saigram colony, opposite Indoline furniture Ambad link road ,Ambad ,1 km from Pathardi phata Nashik ,422010 ,Maharashtra, India-Dr Sagar Rajkuwar (MS-ENT), Cell no- 7387590194   ,  9892596635


 

FOR INFORMATION IN GREAT DETAIL How to reduce Adenoids naturally? PL CLICK ON THE LINK GIVEN BELOW-It is always better to view links from laptop/desktop rather than mobile phone as they may not be seen from mobile phone.  ,in case of technical difficulties you need to copy paste this link in google search. In case if you are viewing this blog from mobile phone you need to click on the three dots on the right upper corner of your mobile screen and ENABLE DESKTOP VERSION-
https://healthuseful.com/how-to-reduce-adenoids-naturally/

-FOR INFORMATION IN GREAT DETAIL Adenoidectomy Surgery Guide – Expert Advice PL CLICK ON THE LINK GIVEN BELOW-It is always better to view links from laptop/desktop rather than mobile phone as they may not be seen from mobile phone.  ,in case of technical difficulties you need to copy paste this link in google search. In case if you are viewing this blog from mobile phone you need to click on the three dots on the right upper corner of your mobile screen and ENABLE DESKTOP VERSION-
https://healthuseful.com/adenoidectomy-surgery/

-FOR INFORMATION IN GREAT DETAIL What age is best for Adenoidectomy? PL CLICK ON THE LINK GIVEN BELOW-It is always better to view links from laptop/desktop rather than mobile phone as they may not be seen from mobile phone.  ,in case of technical difficulties you need to copy paste this link in google search. In case if you are viewing this blog from mobile phone you need to click on the three dots on the right upper corner of your mobile screen and ENABLE DESKTOP VERSION-
https://healthuseful.com/what-age-is-best-for-adenoidectomy/

-FOR INFORMATION IN GREAT DETAIL Cost of Adenoidectomy in India PL CLICK ON THE LINK GIVEN BELOW-It is always better to view links from laptop/desktop rather than mobile phone as they may not be seen from mobile phone.  ,in case of technical difficulties you need to copy paste this link in google search. In case if you are viewing this blog from mobile phone you need to click on the three dots on the right upper corner of your mobile screen and ENABLE DESKTOP VERSION-
https://healthuseful.com/cost-of-adenoidectomy-in-india/

-FOR INFORMATION IN GREAT DETAIL Coblation Adenoidectomy Cost In India PL CLICK ON THE LINK GIVEN BELOW-It is always better to view links from laptop/desktop rather than mobile phone as they may not be seen from mobile phone.  ,in case of technical difficulties you need to copy paste this link in google search. In case if you are viewing this blog from mobile phone you need to click on the three dots on the right upper corner of your mobile screen and ENABLE DESKTOP VERSION-
https://healthuseful.com/coblation-adenoidectomy-cost-in-india/

-FOR INFORMATION IN GREAT DETAIL Adenoids laser Surgery cost PL CLICK ON THE LINK GIVEN BELOW-It is always better to view links from laptop/desktop rather than mobile phone as they may not be seen from mobile phone.  ,in case of technical difficulties you need to copy paste this link in google search. In case if you are viewing this blog from mobile phone you need to click on the three dots on the right upper corner of your mobile screen and ENABLE DESKTOP VERSION-
https://healthuseful.com/adenoids-laser-surgery-cost/

-FOR INFORMATION IN GREAT DETAIL Coblation adenoidectomy side effects PL CLICK ON THE LINK GIVEN BELOW-It is always better to view links from laptop/desktop rather than mobile phone as they may not be seen from mobile phone.  ,in case of technical difficulties you need to copy paste this link in google search. In case if you are viewing this blog from mobile phone you need to click on the three dots on the right upper corner of your mobile screen and ENABLE DESKTOP VERSION-
https://healthuseful.com/coblation-adenoidectomy-side-effects/

-FOR INFORMATION IN GREAT DETAIL Cost Of Adenoidectomy in Hyderabad PL CLICK ON THE LINK GIVEN BELOW-It is always better to view links from laptop/desktop rather than mobile phone as they may not be seen from mobile phone.  ,in case of technical difficulties you need to copy paste this link in google search. In case if you are viewing this blog from mobile phone you need to click on the three dots on the right upper corner of your mobile screen and ENABLE DESKTOP VERSION-
https://healthuseful.com/cost-of-adenoidectomy-in-hyderabad/

-FOR INFORMATION IN GREAT DETAIL Cost of Adenoidectomy in Delhi PL CLICK ON THE LINK GIVEN BELOW-It is always better to view links from laptop/desktop rather than mobile phone as they may not be seen from mobile phone.  ,in case of technical difficulties you need to copy paste this link in google search. In case if you are viewing this blog from mobile phone you need to click on the three dots on the right upper corner of your mobile screen and ENABLE DESKTOP VERSION-
https://healthuseful.com/cost-of-adenoidectomy-in-delhi/

-FOR INFORMATION IN GREAT DETAIL Cost of Adenoidectomy Surgery in Mumbai PL CLICK ON THE LINK GIVEN BELOW-It is always better to view links from laptop/desktop rather than mobile phone as they may not be seen from mobile phone.  ,in case of technical difficulties you need to copy paste this link in google search. In case if you are viewing this blog from mobile phone you need to click on the three dots on the right upper corner of your mobile screen and ENABLE DESKTOP VERSION-
https://healthuseful.com/cost-of-adenoidectomy-surgery-in-mumbai/

-FOR INFORMATION IN GREAT DETAIL “Cost of Adenoidectomy in Kerala (2025): What Parents Should Know” PL CLICK ON THE LINK GIVEN BELOW-It is always better to view links from laptop/desktop rather than mobile phone as they may not be seen from mobile phone.  ,in case of technical difficulties you need to copy paste this link in google search. In case if you are viewing this blog from mobile phone you need to click on the three dots on the right upper corner of your mobile screen and ENABLE DESKTOP VERSION-
https://healthuseful.com/cost-of-adenoidectomy-in-kerala/

-FOR INFORMATION IN GREAT DETAIL Is Adenoid Surgery expensive ? PL CLICK ON THE LINK GIVEN BELOW-It is always better to view links from laptop/desktop rather than mobile phone as they may not be seen from mobile phone.  ,in case of technical difficulties you need to copy paste this link in google search. In case if you are viewing this blog from mobile phone you need to click on the three dots on the right upper corner of your mobile screen and ENABLE DESKTOP VERSION-
https://healthuseful.com/is-adenoid-surgery-expensive/

-FOR INFORMATION IN GREAT DETAIL Do Antihistamines Help Adenoids? Expert Answer for Parents PL CLICK ON THE LINK GIVEN BELOW-It is always better to view links from laptop/desktop rather than mobile phone as they may not be seen from mobile phone.  ,in case of technical difficulties you need to copy paste this link in google search. In case if you are viewing this blog from mobile phone you need to click on the three dots on the right upper corner of your mobile screen and ENABLE DESKTOP VERSION-
https://healthuseful.com/do-antihistamines-help-adenoids/

-FOR INFORMATION IN GREAT DETAIL How do you know if your child needs adenoids out? PL CLICK ON THE LINK GIVEN BELOW-It is always better to view links from laptop/desktop rather than mobile phone as they may not be seen from mobile phone.  ,in case of technical difficulties you need to copy paste this link in google search. In case if you are viewing this blog from mobile phone you need to click on the three dots on the right upper corner of your mobile screen and ENABLE DESKTOP VERSION-
https://healthuseful.com/how-do-you-know-if-your-child-needs-adenoids-out/

-FOR INFORMATION IN GREAT DETAIL Is There Any Ayurvedic Treatment For Adenoids? PL CLICK ON THE LINK GIVEN BELOW-It is always better to view links from laptop/desktop rather than mobile phone as they may not be seen from mobile phone.  ,in case of technical difficulties you need to copy paste this link in google search. In case if you are viewing this blog from mobile phone you need to click on the three dots on the right upper corner of your mobile screen and ENABLE DESKTOP VERSION-
https://healthuseful.com/is-there-any-ayurvedic-treatment-for-adenoids/

-FOR INFORMATION IN GREAT DETAIL Do Adenoids Affect Brain Development in Children? Doctors Explain the Truth PL CLICK ON THE LINK GIVEN BELOW-It is always better to view links from laptop/desktop rather than mobile phone as they may not be seen from mobile phone.  ,in case of technical difficulties you need to copy paste this link in google search. In case if you are viewing this blog from mobile phone you need to click on the three dots on the right upper corner of your mobile screen and ENABLE DESKTOP VERSION-
https://healthuseful.com/do-adenoids-affect-brain-development/

-FOR INFORMATION IN GREAT DETAIL Can Adenoids Turn Cancerous? Symptoms, Risks & Expert Answers PL CLICK ON THE LINK GIVEN BELOW-It is always better to view links from laptop/desktop rather than mobile phone as they may not be seen from mobile phone.  ,in case of technical difficulties you need to copy paste this link in google search. In case if you are viewing this blog from mobile phone you need to click on the three dots on the right upper corner of your mobile screen and ENABLE DESKTOP VERSION-
https://healthuseful.com/can-adenoids-turn-cancerous/

-FOR INFORMATION IN GREAT DETAIL How Can I Shrink My Adenoids Fast? PL CLICK ON THE LINK GIVEN BELOW-It is always better to view links from laptop/desktop rather than mobile phone as they may not be seen from mobile phone.  ,in case of technical difficulties you need to copy paste this link in google search. In case if you are viewing this blog from mobile phone you need to click on the three dots on the right upper corner of your mobile screen and ENABLE DESKTOP VERSION-
https://healthuseful.com/how-can-i-shrink-my-adenoids-fast/

-FOR INFORMATION IN GREAT DETAIL When to Worry About Adenoids? Expert ENT Guide for Parents PL CLICK ON THE LINK GIVEN BELOW-It is always better to view links from laptop/desktop rather than mobile phone as they may not be seen from mobile phone.  ,in case of technical difficulties you need to copy paste this link in google search. In case if you are viewing this blog from mobile phone you need to click on the three dots on the right upper corner of your mobile screen and ENABLE DESKTOP VERSION-
https://healthuseful.com/when-to-worry-about-adenoids/

-FOR INFORMATION IN GREAT DETAIL What Does Grade 3 Adenoids Mean? Symptoms, Causes & Treatment Explained PL CLICK ON THE LINK GIVEN BELOW-It is always better to view links from laptop/desktop rather than mobile phone as they may not be seen from mobile phone.  ,in case of technical difficulties you need to copy paste this link in google search. In case if you are viewing this blog from mobile phone you need to click on the three dots on the right upper corner of your mobile screen and ENABLE DESKTOP VERSION-
https://healthuseful.com/what-does-grade-3-adenoids-mean/

-FOR INFORMATION IN GREAT DETAIL What herbs are good for swollen adenoids? PL CLICK ON THE LINK GIVEN BELOW-It is always better to view links from laptop/desktop rather than mobile phone as they may not be seen from mobile phone.  ,in case of technical difficulties you need to copy paste this link in google search. In case if you are viewing this blog from mobile phone you need to click on the three dots on the right upper corner of your mobile screen and ENABLE DESKTOP VERSION-
https://healthuseful.com/what-herbs-are-good-for-swollen-adenoids/

-FOR INFORMATION IN GREAT DETAIL Shrink Your Toddler’s Adenoids Without Surgery – Proven Tips That Work PL CLICK ON THE LINK GIVEN BELOW-It is always better to view links from laptop/desktop rather than mobile phone as they may not be seen from mobile phone.  ,in case of technical difficulties you need to copy paste this link in google search. In case if you are viewing this blog from mobile phone you need to click on the three dots on the right upper corner of your mobile screen and ENABLE DESKTOP VERSION-
https://healthuseful.com/how-to-shrink-adenoids-in-toddlers/

-FOR INFORMATION IN GREAT DETAIL How to Help a Child Sleep Better with Enlarged Adenoids: Expert Tips for Parents PL CLICK ON THE LINK GIVEN BELOW-It is always better to view links from laptop/desktop rather than mobile phone as they may not be seen from mobile phone.  ,in case of technical difficulties you need to copy paste this link in google search. In case if you are viewing this blog from mobile phone you need to click on the three dots on the right upper corner of your mobile screen and ENABLE DESKTOP VERSION-
https://healthuseful.com/how-to-help-a-child-sleep-with-enlarged-adenoids/

-FOR INFORMATION IN GREAT DETAIL “Enlarged Adenoids in Children: Symptoms That Look Harmless But Aren’t” PL CLICK ON THE LINK GIVEN BELOW-It is always better to view links from laptop/desktop rather than mobile phone as they may not be seen from mobile phone.  ,in case of technical difficulties you need to copy paste this link in google search. In case if you are viewing this blog from mobile phone you need to click on the three dots on the right upper corner of your mobile screen and ENABLE DESKTOP VERSION-
https://healthuseful.com/enlarged-adenoids-in-kids-symptoms-parents-miss/

-FOR INFORMATION IN GREAT DETAIL Is Drooling Normal After Adenoidectomy? Causes, Recovery & When to Worry PL CLICK ON THE LINK GIVEN BELOW-It is always better to view links from laptop/desktop rather than mobile phone as they may not be seen from mobile phone.  ,in case of technical difficulties you need to copy paste this link in google search. In case if you are viewing this blog from mobile phone you need to click on the three dots on the right upper corner of your mobile screen and ENABLE DESKTOP VERSION-
https://healthuseful.com/is-drooling-normal-after-adenoidectomy/

-FOR INFORMATION IN GREAT DETAIL “Adenoidectomy Infection: Warning Signs You Should Never Ignore” PL CLICK ON THE LINK GIVEN BELOW-It is always better to view links from laptop/desktop rather than mobile phone as they may not be seen from mobile phone.  ,in case of technical difficulties you need to copy paste this link in google search. In case if you are viewing this blog from mobile phone you need to click on the three dots on the right upper corner of your mobile screen and ENABLE DESKTOP VERSION-

https://healthuseful.com/how-do-you-know-if-your-adenoidectomy-is-infected/

-FOR INFORMATION IN GREAT DETAIL “What Is the Success Rate of Adenoid Removal? Facts Every Parent Must Know!” PL CLICK ON THE LINK GIVEN BELOW-It is always better to view links from laptop/desktop rather than mobile phone as they may not be seen from mobile phone.  ,in case of technical difficulties you need to copy paste this link in google search. In case if you are viewing this blog from mobile phone you need to click on the three dots on the right upper corner of your mobile screen and ENABLE DESKTOP VERSION-
https://healthuseful.com/what-is-the-success-rate-of-adenoids-removal/

-FOR INFORMATION IN GREAT DETAIL “Is Adenoid Surgery Safe? What Every Parent Should Know in 2025” PL CLICK ON THE LINK GIVEN BELOW-It is always better to view links from laptop/desktop rather than mobile phone as they may not be seen from mobile phone.  ,in case of technical difficulties you need to copy paste this link in google search. In case if you are viewing this blog from mobile phone you need to click on the three dots on the right upper corner of your mobile screen and ENABLE DESKTOP VERSION-
https://healthuseful.com/is-adenoid-surgery-safe/

-FOR INFORMATION IN GREAT DETAIL Is Removing Adenoids a Good Idea? Benefits, Risks & Expert Insights PL CLICK ON THE LINK GIVEN BELOW-It is always better to view links from laptop/desktop rather than mobile phone as they may not be seen from mobile phone.  ,in case of technical difficulties you need to copy paste this link in google search. In case if you are viewing this blog from mobile phone you need to click on the three dots on the right upper corner of your mobile screen and ENABLE DESKTOP VERSION-
https://healthuseful.com/is-removing-adenoids-a-good-idea/

-FOR INFORMATION IN GREAT DETAIL “What Happens If Adenoids Are Not Removed? Doctor Explains” PL CLICK ON THE LINK GIVEN BELOW-It is always better to view links from laptop/desktop rather than mobile phone as they may not be seen from mobile phone.  ,in case of technical difficulties you need to copy paste this link in google search. In case if you are viewing this blog from mobile phone you need to click on the three dots on the right upper corner of your mobile screen and ENABLE DESKTOP VERSION-
https://healthuseful.com/what-happens-if-adenoids-are-not-removed/

-FOR INFORMATION IN GREAT DETAIL “Adenoid Cystic Carcinoma Symptoms: Early Warning Signs You Shouldn’t Ignore” PL CLICK ON THE LINK GIVEN BELOW-It is always better to view links from laptop/desktop rather than mobile phone as they may not be seen from mobile phone.  ,in case of technical difficulties you need to copy paste this link in google search. In case if you are viewing this blog from mobile phone you need to click on the three dots on the right upper corner of your mobile screen and ENABLE DESKTOP VERSION-
https://healthuseful.com/adenoid-cystic-carcinoma-symptoms-early-warning-signs-you-shouldnt-ignore/

-FOR INFORMATION IN GREAT DETAIL ✨ Do Kids Sleep Better After Adenoid Removal? The Truth Every Parent Must Know! PL CLICK ON THE LINK GIVEN BELOW-It is always better to view links from laptop/desktop rather than mobile phone as they may not be seen from mobile phone.  ,in case of technical difficulties you need to copy paste this link in google search. In case if you are viewing this blog from mobile phone you need to click on the three dots on the right upper corner of your mobile screen and ENABLE DESKTOP VERSION-
https://healthuseful.com/do-kids-sleep-better-after-adenoid-removal/

-FOR INFORMATION IN GREAT DETAIL “Can My Child Swim After Adenoidectomy? Safe Recovery Tips for Parents” The Truth Every Parent Must Know! PL CLICK ON THE LINK GIVEN BELOW-It is always better to view links from laptop/desktop rather than mobile phone as they may not be seen from mobile phone.  ,in case of technical difficulties you need to copy paste this link in google search. In case if you are viewing this blog from mobile phone you need to click on the three dots on the right upper corner of your mobile screen and ENABLE DESKTOP VERSION-
https://healthuseful.com/can-my-child-swim-after-adenoidectomy/

-FOR INFORMATION IN GREAT DETAIL Can Removing Adenoids Affect Behavior? Surprising Facts for Parents PL CLICK ON THE LINK GIVEN BELOW-It is always better to view links from laptop/desktop rather than mobile phone as they may not be seen from mobile phone.  ,in case of technical difficulties you need to copy paste this link in google search. In case if you are viewing this blog from mobile phone you need to click on the three dots on the right upper corner of your mobile screen and ENABLE DESKTOP VERSION-
https://healthuseful.com/can-adenoid-removal-affect-behavior/

-FOR INFORMATION IN GREAT DETAIL Adenoids and Speech Delay: What Parents Shouldn’t Ignore PL CLICK ON THE LINK GIVEN BELOW-It is always better to view links from laptop/desktop rather than mobile phone as they may not be seen from mobile phone.  ,in case of technical difficulties you need to copy paste this link in google search. In case if you are viewing this blog from mobile phone you need to click on the three dots on the right upper corner of your mobile screen and ENABLE DESKTOP VERSION-
https://healthuseful.com/can-adenoids-affect-speech/

-FOR INFORMATION IN GREAT DETAIL ✨ How to Prevent Adenoid Problems in Your Child: Expert Tips Every Parent Should Know PL CLICK ON THE LINK GIVEN BELOW-It is always better to view links from laptop/desktop rather than mobile phone as they may not be seen from mobile phone.  ,in case of technical difficulties you need to copy paste this link in google search. In case if you are viewing this blog from mobile phone you need to click on the three dots on the right upper corner of your mobile screen and ENABLE DESKTOP VERSION-
https://healthuseful.com/how-can-i-prevent-adenoid-problems-in-my-child/

-FOR INFORMATION IN GREAT DETAIL Are Adenoids Linked to Allergies? Surprising Facts Every Parent Should Know PL CLICK ON THE LINK GIVEN BELOW-It is always better to view links from laptop/desktop rather than mobile phone as they may not be seen from mobile phone.  ,in case of technical difficulties you need to copy paste this link in google search. In case if you are viewing this blog from mobile phone you need to click on the three dots on the right upper corner of your mobile screen and ENABLE DESKTOP VERSION-
https://healthuseful.com/are-adenoids-related-to-allergies/

-FOR INFORMATION IN GREAT DETAIL What to Avoid After Adenoid Surgery: Essential Recovery Tips for Parents PL CLICK ON THE LINK GIVEN BELOW-It is always better to view links from laptop/desktop rather than mobile phone as they may not be seen from mobile phone.  ,in case of technical difficulties you need to copy paste this link in google search. In case if you are viewing this blog from mobile phone you need to click on the three dots on the right upper corner of your mobile screen and ENABLE DESKTOP VERSION-
https://healthuseful.com/what-to-avoid-after-adenoid-surgery/

-FOR INFORMATION IN GREAT DETAIL Adenoids vs. Allergies: What Doctors Want You to Understand PL CLICK ON THE LINK GIVEN BELOW-It is always better to view links from laptop/desktop rather than mobile phone as they may not be seen from mobile phone.  ,in case of technical difficulties you need to copy paste this link in google search. In case if you are viewing this blog from mobile phone you need to click on the three dots on the right upper corner of your mobile screen and ENABLE DESKTOP VERSION-
https://healthuseful.com/adenoids-vs-allergies-what-doctors-want-you-to-understand/

-FOR INFORMATION IN GREAT DETAIL Are Adenoid Problems Genetic? What Every Parent Needs to Know About Family Risk PL CLICK ON THE LINK GIVEN BELOW-It is always better to view links from laptop/desktop rather than mobile phone as they may not be seen from mobile phone.  ,in case of technical difficulties you need to copy paste this link in google search. In case if you are viewing this blog from mobile phone you need to click on the three dots on the right upper corner of your mobile screen and ENABLE DESKTOP VERSION-
https://healthuseful.com/are-adenoid-problems-genetic/

-FOR INFORMATION IN GREAT DETAIL “Can Food Get Stuck in Your Adenoids? ENT Explains the Hidden Truth” PL CLICK ON THE LINK GIVEN BELOW-It is always better to view links from laptop/desktop rather than mobile phone as they may not be seen from mobile phone.  ,in case of technical difficulties you need to copy paste this link in google search. In case if you are viewing this blog from mobile phone you need to click on the three dots on the right upper corner of your mobile screen and ENABLE DESKTOP VERSION-
https://healthuseful.com/can-food-get-stuck-in-adenoids/

-FOR INFORMATION IN GREAT DETAIL Do Adenoids Affect the Brain? Hidden Impacts Every Parent Should Know PL CLICK ON THE LINK GIVEN BELOW-It is always better to view links from laptop/desktop rather than mobile phone as they may not be seen from mobile phone.  ,in case of technical difficulties you need to copy paste this link in google search. In case if you are viewing this blog from mobile phone you need to click on the three dots on the right upper corner of your mobile screen and ENABLE DESKTOP VERSION-
https://healthuseful.com/do-adenoids-affect-the-brain/

-FOR INFORMATION IN GREAT DETAIL How Long Does Adenoid Surgery Take? PL CLICK ON THE LINK GIVEN BELOW-It is always better to view links from laptop/desktop rather than mobile phone as they may not be seen from mobile phone.  ,in case of technical difficulties you need to copy paste this link in google search. In case if you are viewing this blog from mobile phone you need to click on the three dots on the right upper corner of your mobile screen and ENABLE DESKTOP VERSION-
https://healthuseful.com/how-long-does-adenoid-surgery-take/

-FOR INFORMATION IN GREAT DETAIL How to Keep Adenoids Healthy Naturally: 12 Expert Tips by an ENT Specialist PL CLICK ON THE LINK GIVEN BELOW-It is always better to view links from laptop/desktop rather than mobile phone as they may not be seen from mobile phone.  ,in case of technical difficulties you need to copy paste this link in google search. In case if you are viewing this blog from mobile phone you need to click on the three dots on the right upper corner of your mobile screen and ENABLE DESKTOP VERSION-
https://healthuseful.com/how-to-keep-adenoids-healthy/

-FOR INFORMATION IN GREAT DETAIL Severe Headache After Adenoidectomy: Normal or Dangerous? PL CLICK ON THE LINK GIVEN BELOW-It is always better to view links from laptop/desktop rather than mobile phone as they may not be seen from mobile phone.  ,in case of technical difficulties you need to copy paste this link in google search. In case if you are viewing this blog from mobile phone you need to click on the three dots on the right upper corner of your mobile screen and ENABLE DESKTOP VERSION-
https://healthuseful.com/severe-headache-after-adenoidectomy/

-FOR INFORMATION IN GREAT DETAIL Is Adenoid Removal Really Risky? What Every Parent Should Know! PL CLICK ON THE LINK GIVEN BELOW-It is always better to view links from laptop/desktop rather than mobile phone as they may not be seen from mobile phone.  ,in case of technical difficulties you need to copy paste this link in google search. In case if you are viewing this blog from mobile phone you need to click on the three dots on the right upper corner of your mobile screen and ENABLE DESKTOP VERSION-
https://healthuseful.com/how-risky-is-adenoid-removal/

-FOR INFORMATION IN GREAT DETAIL Does Removing Adenoids Improve Hearing? ENT Expert Explains PL CLICK ON THE LINK GIVEN BELOW-It is always better to view links from laptop/desktop rather than mobile phone as they may not be seen from mobile phone.  ,in case of technical difficulties you need to copy paste this link in google search. In case if you are viewing this blog from mobile phone you need to click on the three dots on the right upper corner of your mobile screen and ENABLE DESKTOP VERSION-
https://healthuseful.com/does-removing-adenoids-improve-hearing/

-FOR INFORMATION IN GREAT DETAIL Do You Get Sick More Without Adenoids? The Truth by ENT Specialist PL CLICK ON THE LINK GIVEN BELOW-It is always better to view links from laptop/desktop rather than mobile phone as they may not be seen from mobile phone.  ,in case of technical difficulties you need to copy paste this link in google search. In case if you are viewing this blog from mobile phone you need to click on the three dots on the right upper corner of your mobile screen and ENABLE DESKTOP VERSION-
https://healthuseful.com/do-you-get-sick-more-without-adenoids-the-truth-by-ent-specialist/

-FOR INFORMATION IN GREAT DETAIL Can Adenoids Cause Ear Pain? ENT Explains Causes, Symptoms & Treatment PL CLICK ON THE LINK GIVEN BELOW-It is always better to view links from laptop/desktop rather than mobile phone as they may not be seen from mobile phone.  ,in case of technical difficulties you need to copy paste this link in google search. In case if you are viewing this blog from mobile phone you need to click on the three dots on the right upper corner of your mobile screen and ENABLE DESKTOP VERSION-
https://healthuseful.com/can-adenoids-cause-ear-pain/

-FOR INFORMATION IN GREAT DETAIL Adenoids Removed but Still Snoring? Here’s What Might Be Going On PL CLICK ON THE LINK GIVEN BELOW-It is always better to view links from laptop/desktop rather than mobile phone as they may not be seen from mobile phone.  ,in case of technical difficulties you need to copy paste this link in google search. In case if you are viewing this blog from mobile phone you need to click on the three dots on the right upper corner of your mobile screen and ENABLE DESKTOP VERSION-
https://healthuseful.com/can-you-still-snore-without-adenoids/

-FOR INFORMATION IN GREAT DETAIL “Can You Have Enlarged Adenoids Without Enlarged Tonsils? Hidden Causes of Breathing Problems Explained” PL CLICK ON THE LINK GIVEN BELOW-It is always better to view links from laptop/desktop rather than mobile phone as they may not be seen from mobile phone.  ,in case of technical difficulties you need to copy paste this link in google search. In case if you are viewing this blog from mobile phone you need to click on the three dots on the right upper corner of your mobile screen and ENABLE DESKTOP VERSION-
https://healthuseful.com/can-you-have-enlarged-adenoids-without-enlarged-tonsils/

-FOR INFORMATION IN GREAT DETAIL How Doctors Check Adenoids: Inside the ENT Process Explained Clearly PL CLICK ON THE LINK GIVEN BELOW-It is always better to view links from laptop/desktop rather than mobile phone as they may not be seen from mobile phone.  ,in case of technical difficulties you need to copy paste this link in google search. In case if you are viewing this blog from mobile phone you need to click on the three dots on the right upper corner of your mobile screen and ENABLE DESKTOP VERSION-
https://healthuseful.com/how-ent-specialists-check-adenoids/

-FOR INFORMATION IN GREAT DETAIL At What Age Are Adenoids Most Active? Every Parent Should Know This! PL CLICK ON THE LINK GIVEN BELOW-It is always better to view links from laptop/desktop rather than mobile phone as they may not be seen from mobile phone.  ,in case of technical difficulties you need to copy paste this link in google search. In case if you are viewing this blog from mobile phone you need to click on the three dots on the right upper corner of your mobile screen and ENABLE DESKTOP VERSION-
https://healthuseful.com/at-what-age-are-adenoids-most-active/

-FOR INFORMATION IN GREAT DETAIL Do Adults Have Adenoids? Shocking Truth You Need to Know! PL CLICK ON THE LINK GIVEN BELOW-It is always better to view links from laptop/desktop rather than mobile phone as they may not be seen from mobile phone.  ,in case of technical difficulties you need to copy paste this link in google search. In case if you are viewing this blog from mobile phone you need to click on the three dots on the right upper corner of your mobile screen and ENABLE DESKTOP VERSION-
https://healthuseful.com/do-adults-have-adenoids-myths-and-facts-explained/

-FOR INFORMATION IN GREAT DETAIL Is Adenoid Removal Safe in the Long Run? Here’s What You Should Know PL CLICK ON THE LINK GIVEN BELOW-It is always better to view links from laptop/desktop rather than mobile phone as they may not be seen from mobile phone.  ,in case of technical difficulties you need to copy paste this link in google search. In case if you are viewing this blog from mobile phone you need to click on the three dots on the right upper corner of your mobile screen and ENABLE DESKTOP VERSION-
https://healthuseful.com/long-term-effects-of-adenoid-removal/

-FOR INFORMATION IN GREAT DETAIL Can Adenoids Grow Back in Adults? The Truth You Need to Know PL CLICK ON THE LINK GIVEN BELOW-It is always better to view links from laptop/desktop rather than mobile phone as they may not be seen from mobile phone.  ,in case of technical difficulties you need to copy paste this link in google search. In case if you are viewing this blog from mobile phone you need to click on the three dots on the right upper corner of your mobile screen and ENABLE DESKTOP VERSION-
https://healthuseful.com/can-adenoids-grow-back-in-adults/

-FOR INFORMATION IN GREAT DETAIL How Long Does It Take For Adenoids To Grow Back After Surgery PL CLICK ON THE LINK GIVEN BELOW-It is always better to view links from laptop/desktop rather than mobile phone as they may not be seen from mobile phone.  ,in case of technical difficulties you need to copy paste this link in google search. In case if you are viewing this blog from mobile phone you need to click on the three dots on the right upper corner of your mobile screen and ENABLE DESKTOP VERSION-
https://healthuseful.com/how-long-does-it-take-for-adenoids-to-grow-back-after-surgery/

-FOR INFORMATION IN GREAT DETAIL “How Much Does an Adenoid X-Ray Cost? Complete Guide to Prices, Insurance & Tests” PL CLICK ON THE LINK GIVEN BELOW-It is always better to view links from laptop/desktop rather than mobile phone as they may not be seen from mobile phone.  ,in case of technical difficulties you need to copy paste this link in google search. In case if you are viewing this blog from mobile phone you need to click on the three dots on the right upper corner of your mobile screen and ENABLE DESKTOP VERSION-
https://healthuseful.com/how-much-does-an-adenoid-xray-cost/

-FOR INFORMATION IN GREAT DETAIL Is Adenoid Surgery Covered by Insurance? Here’s the Truth You Must Know PL CLICK ON THE LINK GIVEN BELOW-It is always better to view links from laptop/desktop rather than mobile phone as they may not be seen from mobile phone.  ,in case of technical difficulties you need to copy paste this link in google search. In case if you are viewing this blog from mobile phone you need to click on the three dots on the right upper corner of your mobile screen and ENABLE DESKTOP VERSION-
https://healthuseful.com/is-adenoid-surgery-covered-by-insurance/

-FOR INFORMATION IN GREAT DETAIL Cefuroxime and Adenoid Infections: Effective or Not? PL CLICK ON THE LINK GIVEN BELOW-It is always better to view links from laptop/desktop rather than mobile phone as they may not be seen from mobile phone.  ,in case of technical difficulties you need to copy paste this link in google search. In case if you are viewing this blog from mobile phone you need to click on the three dots on the right upper corner of your mobile screen and ENABLE DESKTOP VERSION-
https://healthuseful.com/cefuroxime-and-adenoid-infections-effective-or-not/

-FOR INFORMATION IN GREAT DETAIL Can Adenoids Cause Low Oxygen Levels? ENT Explains PL CLICK ON THE LINK GIVEN BELOW-It is always better to view links from laptop/desktop rather than mobile phone as they may not be seen from mobile phone.  ,in case of technical difficulties you need to copy paste this link in google search. In case if you are viewing this blog from mobile phone you need to click on the three dots on the right upper corner of your mobile screen and ENABLE DESKTOP VERSION-
https://healthuseful.com/can-adenoids-cause-low-oxygen/

-FOR INFORMATION IN GREAT DETAIL Can Enlarged Adenoids Cause Hearing Loss? PL CLICK ON THE LINK GIVEN BELOW-It is always better to view links from laptop/desktop rather than mobile phone as they may not be seen from mobile phone.  ,in case of technical difficulties you need to copy paste this link in google search. In case if you are viewing this blog from mobile phone you need to click on the three dots on the right upper corner of your mobile screen and ENABLE DESKTOP VERSION-
https://healthuseful.com/can-adenoids-affect-hearing/

-FOR INFORMATION IN GREAT DETAIL Does Adenoid Removal Really Cause Weight Gain? The Truth Parents Must Know PL CLICK ON THE LINK GIVEN BELOW-It is always better to view links from laptop/desktop rather than mobile phone as they may not be seen from mobile phone.  ,in case of technical difficulties you need to copy paste this link in google search. In case if you are viewing this blog from mobile phone you need to click on the three dots on the right upper corner of your mobile screen and ENABLE DESKTOP VERSION-
https://healthuseful.com/does-adenoid-removal-cause-weight-gain/

-FOR INFORMATION IN GREAT DETAIL Adenoids and Asthma: Hidden Link Every Parent Must Know PL CLICK ON THE LINK GIVEN BELOW-It is always better to view links from laptop/desktop rather than mobile phone as they may not be seen from mobile phone.  ,in case of technical difficulties you need to copy paste this link in google search. In case if you are viewing this blog from mobile phone you need to click on the three dots on the right upper corner of your mobile screen and ENABLE DESKTOP VERSION-
https://healthuseful.com/can-adenoids-make-asthma-worse/

-FOR INFORMATION IN GREAT DETAIL How Many People Have Died from Adenoidectomy? The Truth Parents Must Know PL CLICK ON THE LINK GIVEN BELOW-It is always better to view links from laptop/desktop rather than mobile phone as they may not be seen from mobile phone.  ,in case of technical difficulties you need to copy paste this link in google search. In case if you are viewing this blog from mobile phone you need to click on the three dots on the right upper corner of your mobile screen and ENABLE DESKTOP VERSION-
https://healthuseful.com/how-many-people-have-died-from-adenoidectomy/

-FOR INFORMATION IN GREAT DETAIL When Are the Worst Days After Tonsillectomy and Adenoidectomy? Doctor’s Guide PL CLICK ON THE LINK GIVEN BELOW-It is always better to view links from laptop/desktop rather than mobile phone as they may not be seen from mobile phone.  ,in case of technical difficulties you need to copy paste this link in google search. In case if you are viewing this blog from mobile phone you need to click on the three dots on the right upper corner of your mobile screen and ENABLE DESKTOP VERSION-
https://healthuseful.com/what-are-the-worst-days-after-tonsillectomy-and-adenoidectomy/

-FOR INFORMATION IN GREAT DETAIL Foods to avoid for adenoids PL CLICK ON THE LINK GIVEN BELOW-It is always better to view links from laptop/desktop rather than mobile phone as they may not be seen from mobile phone.  ,in case of technical difficulties you need to copy paste this link in google search. In case if you are viewing this blog from mobile phone you need to click on the three dots on the right upper corner of your mobile screen and ENABLE DESKTOP VERSION-
https://healthuseful.com/foods-to-avoid-for-adenoids/